激光白内障手术术后分享
2015-01-02 微信红包微币天天送,关注微信号: hkziyouxing (长按左边红色字复制)获取福利和最新香港购物优惠折扣信息“白内障要等到熟先做”这个观念是完全错误的。做手术的最理想时候是有症状但白内障还未成熟时。现今科技先进,手术安全程度无可置疑。故更不应为了等白内障熟透而错过做手术的最佳时间。
劉先生 
「之前一直在藥房工作,都不擦覺自己視力有問題。退休4個月後,發覺看細字越來越模,倒水又倒瀉,仲以為自己有老花。經街坊介紹到1238激光白內障手術中心作詳細檢查後,才知左眼有嚴重白內障,視力只有少於一成,看東西只看到影。日常生活主要只靠右眼。
接受激光白內障手術過程並不緊張。並且無痛,亦無任何不適。約20分鐘便完成。手術後第二天已看得很清楚,連對面街的景物也看得見,非常開心。雖然右眼的白內障情況較輕,但病向淺中醫。待左眼情況懚定後,右眼也會接受手術。」
邵女士
「前一陣子看電視時覺得有點模糊,看文件時又經常睇錯字。經家人介紹到1238激光白內障手術中心作詳細檢查後,才知右眼白內障已經頗“熟”。於是選擇了不用手術刀、康復較快的激光白內障手術。手術時只有少少“脹脹地”,眼濕濕的感覺,大約30分鐘便完成。第二天拆開眼罩後,看電視覺得顏色特別鮮明,很有高清的感覺。看文件時,線條亦很清楚。原來現在科技先進,做白內障手術不再須要“涯”到“熟”才做。所以白內障情況較輕的左眼也預約了進行手術,讓雙眼同時感受高清視力。」
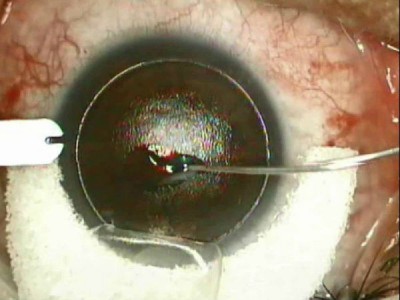
1238激光白内障手术中心引入的先进「激光白内障手术」系统LENSAR采用3D CSI(Confocal Structured Illumination)造出3D眼前房模型,再引导激光切割出完美的圆形前囊膜,使人工晶体摆放更正中,对植入多焦点人工晶体及散光人工晶体尤其重要。「激光白内障手术」系统能减底超声波能量的使用、减少眼角膜内皮细胞的损耗,有助加速痊愈。
1238激光白内障手术中心设有符合国际级标准的正气压手术室。地板和天花为无缝无孔设计,备有水平式层流系统 (Laminar flow)及高效率空气过滤器 (Hepa filter)。中心会定期进行空气细菌培殖,以确保手术室空气质素合乎国际标准。
关于免费白内障初步评估或其它查询:
1) 登入”1238激光白内障手术中心”讨论区
http://www.1238cataract.com/sc/forum.php
2) 微信号: Championlasik
3) 电邮: enquiry@1238cataract.com
4) 或致电+852 23889929
5) 网页: www.1238cataract.com (白内障)
6) 地址: 九龙弥敦道238号1206-1211室 (港铁佐敦站E出口 )

*所有手术均由眼科专科医生进行
*所有进行激光矫视手术的眼科专科医生均已购买激光矫视手术保险
*所有一次性手术仪器,确保不会循环再用
*手术室空气质素合乎国际标准















